
Alívio das dores faciais
Tratamento das Disfunções Temporomandibulares
As disfunções temporomandibulares (DTMs) são problemas que afetam a articulação temporomandibular (ATM) e os músculos que controlam a mastigação e o movimento da mandíbula. O tratamento das DTMs pode envolver uma combinação de terapias, dependendo da causa e gravidade dos sintomas. Algumas opções de tratamento vão desde auto-cuidado, medicamentos, terapia física, dispositivos orais, terapia cognitivo-comportamental e até mesmo cirurgias em casos mais complexos.
CASOS CLÍNICOS

Todos os tratamentos aqui apresentados foram realizado pelo Dr. Argemiro Souto especialista em prótese dentária (CRO/SC 5292) e sua equipe.
Os resultados atingidos não podem servir de padrão ou referência genérica, afinal a odontologia não é uma ciência exata e cada paciente contém peculiaridades únicas. Devendo sempre ser indicado o tratamento mais adequado caso a caso conforme uma avaliação clínica e de imagens prévia realizada por um profissional da área.
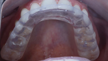
Caso Clínico 1: Placa oclusal instalada auxiliando no tratamentos das disfuncões temporomandibulares
Qualidade
Excelência e confiabilidade em oferecer os melhores resultados para seus cliente
Profissionais Experientes
Há mais de 25 anos sendo referência em odontologia estética com especialistas em constante atualização
Atendimento Humanizado
Responsabilidade, respeito e honestidade em todas as nossa decisões e acões.
ENTRE EM CONTATO
Premier Office Center, Rua Padre Roma, 482 - sala 907/908 - Centro
Florianópolis -SC - Brasil - CEP 88010-090
(48) 99864 0040 | (48)3225-3809 | (48) 3028-3809
HORÁRIO DE ATENDIMENTO
Segunda à sexta das 08:30 às 18:30hs.
Menu
Redes sociais
You Tube
Rua Padre Roma, 482 - sala 907/908 Centro Florianópolis -SC CEP 88010-090
Todos os Direitos Reservados por Argemiro Souto













